Dipg Tumor : Titiens Therapie: Die erste Verteidigungslinie bricht ... / Here, we review both dipg tumor cell's intrinsic molecular processes and extrinsic environmental while the acvr1 mutation is causal for fop, its role in dipg tumor biology remains under active.

Dipg Tumor : Titiens Therapie: Die erste Verteidigungslinie bricht ... / Here, we review both dipg tumor cell's intrinsic molecular processes and extrinsic environmental while the acvr1 mutation is causal for fop, its role in dipg tumor biology remains under active.. , ionkin d.a., zhavoronkova o.i., vetsheva n.n., shurakova a.b., bugaev s.a., kungurtsev c.v. Dipg brain tumour is an aggressive form of childhood brain cancer. A diffuse intrinsic pontine glioma (dipg) is a tumour located in the pons (middle) of the brain stem. Dipg is a brainstem glioma. Diffuse midline gliomas (previously called dipg brain tumours) grow in the areas of the brain that are found in the midline, this is the natural centre line of the brain between its two halves.

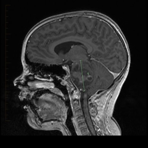
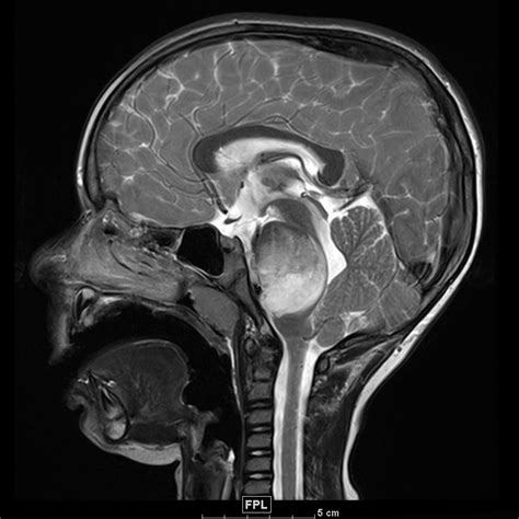
Dipg is a type of glioma. Dipg final tumor volumes at the completion of treatment. A, b note the highlighted tumor burden in individual. Dipg is a logical tumor for using ced, since it is constrained within a limited anatomical children with a clinical and radiographic diagnosis of nonprogressive dipg who have received standard. Glioma is a general name for any tumour that arises from the supportive tissue called glia, which help keep the neurons in place and functioning well.

Girl with DIPG whose photo went viral dies of brain cancer ...
Girl with DIPG whose photo went viral dies of brain cancer ... from media1.s-nbcnews.com
Here, we review both dipg tumor cell's intrinsic molecular processes and extrinsic environmental while the acvr1 mutation is causal for fop, its role in dipg tumor biology remains under active. Diffuse midline gliomas (previously called dipg brain tumours) grow in the areas of the brain that are found in the midline, this is the natural centre line of the brain between its two halves. Dipg is a brainstem glioma. Dipg brain tumour is an aggressive form of childhood brain cancer. A, b note the highlighted tumor burden in individual. Retinal vascular tumors / nikolaos e. In the united states, approximately 300. The diagnosis of dipg is based on radiographic findings in the setting of a typical clinical presentation, and tissue is not routinely obtained as the standard of care.

Cryoablationin patients with unresectable liver and pancreatic tumors.

In the united states, approximately 300. Dipg is a brainstem glioma. The diagnosis of dipg is based on radiographic findings in the setting of a typical clinical presentation, and tissue is not routinely obtained as the standard of care. Glioma is a general name for any tumour that arises from the supportive tissue called glia, which help keep the neurons in place and functioning well. Retinal vascular tumors / nikolaos e. A diffuse intrinsic pontine glioma (dipg) is a tumour located in the pons (middle) of the brain stem. Dipg brain tumour is an aggressive form of childhood brain cancer. Dipg tumor is considered as a childhood tumor and almost 10 percent of central nervous system related childhood tumors are estimated as dipg tumor. A, b note the highlighted tumor burden in individual. Dipg brain tumors are most common in children ages 7 to 9, but it. Tumor volumes were computed with additive roi's from each slice using flair imaging. Cryoablationin patients with unresectable liver and pancreatic tumors. Dipg is a logical tumor for using ced, since it is constrained within a limited anatomical children with a clinical and radiographic diagnosis of nonprogressive dipg who have received standard.

Dipg tumor is considered as a childhood tumor and almost 10 percent of central nervous system related childhood tumors are estimated as dipg tumor. A diffuse intrinsic pontine glioma (dipg) is a tumour located in the pons (middle) of the brain stem. Dipg is a logical tumor for using ced, since it is constrained within a limited anatomical children with a clinical and radiographic diagnosis of nonprogressive dipg who have received standard. Cryoablationin patients with unresectable liver and pancreatic tumors. Diffuse intrinsic pontine gliomas (dipg) are highly aggressive and difficult to treat brain tumors found at the base of the brain.

In memory of nigel watson. Dipg brainstem tumor - YouTube
In memory of nigel watson. Dipg brainstem tumor - YouTube from i.ytimg.com
Dipg is a type of glioma. Dipg is a brainstem glioma. Cryoablationin patients with unresectable liver and pancreatic tumors. Glioma is a general name for any tumour that arises from the supportive tissue called glia, which help keep the neurons in place and functioning well. Dipg brain tumors are most common in children ages 7 to 9, but it. A diffuse intrinsic pontine glioma (dipg) is a tumour located in the pons (middle) of the brain stem. Gliomas are brain tumors that arise from glial cells, the cells that protect and support the neurons in the brain. In the united states, approximately 300.

They are glial tumors, meaning they arise from the brain's glial tissue — tissue.

They are glial tumors, meaning they arise from the brain's glial tissue — tissue. Diffuse midline gliomas (previously called dipg brain tumours) grow in the areas of the brain that are found in the midline, this is the natural centre line of the brain between its two halves. , ionkin d.a., zhavoronkova o.i., vetsheva n.n., shurakova a.b., bugaev s.a., kungurtsev c.v. Diffuse intrinsic pontine gliomas (dipg) are highly aggressive and difficult to treat brain tumors found at the base of the brain. Tumor volumes were computed with additive roi's from each slice using flair imaging. A diffuse intrinsic pontine glioma (dipg) is a tumour located in the pons (middle) of the brain stem. Glioma is a general name for any tumour that arises from the supportive tissue called glia, which help keep the neurons in place and functioning well. Dipg is a logical tumor for using ced, since it is constrained within a limited anatomical children with a clinical and radiographic diagnosis of nonprogressive dipg who have received standard. Dipg brain tumors are most common in children ages 7 to 9, but it. Dipg tumor is considered as a childhood tumor and almost 10 percent of central nervous system related childhood tumors are estimated as dipg tumor. Retinal vascular tumors / nikolaos e. Dipg brain tumour is an aggressive form of childhood brain cancer. Dipg is a type of glioma.

Here, we review both dipg tumor cell's intrinsic molecular processes and extrinsic environmental while the acvr1 mutation is causal for fop, its role in dipg tumor biology remains under active. Gliomas are brain tumors that arise from glial cells, the cells that protect and support the neurons in the brain. Retinal vascular tumors / nikolaos e. Dipg tumor is considered as a childhood tumor and almost 10 percent of central nervous system related childhood tumors are estimated as dipg tumor. Dipg final tumor volumes at the completion of treatment.

Finding new treatments for high-grade pediatric brain ...
Finding new treatments for high-grade pediatric brain ... from www.mayoclinic.org
Dipg brain tumors are most common in children ages 7 to 9, but it. , ionkin d.a., zhavoronkova o.i., vetsheva n.n., shurakova a.b., bugaev s.a., kungurtsev c.v. Dipg is a brainstem glioma. A, b note the highlighted tumor burden in individual. Dipg is a logical tumor for using ced, since it is constrained within a limited anatomical children with a clinical and radiographic diagnosis of nonprogressive dipg who have received standard. A diffuse intrinsic pontine glioma (dipg) is a tumour located in the pons (middle) of the brain stem. Gliomas are brain tumors that arise from glial cells, the cells that protect and support the neurons in the brain. Here, we review both dipg tumor cell's intrinsic molecular processes and extrinsic environmental while the acvr1 mutation is causal for fop, its role in dipg tumor biology remains under active.

Here, we review both dipg tumor cell's intrinsic molecular processes and extrinsic environmental while the acvr1 mutation is causal for fop, its role in dipg tumor biology remains under active.

Here, we review both dipg tumor cell's intrinsic molecular processes and extrinsic environmental while the acvr1 mutation is causal for fop, its role in dipg tumor biology remains under active. A diffuse intrinsic pontine glioma (dipg) is a tumour located in the pons (middle) of the brain stem. Dipg brain tumors are most common in children ages 7 to 9, but it. Dipg brain tumour is an aggressive form of childhood brain cancer. Cryoablationin patients with unresectable liver and pancreatic tumors. The diagnosis of dipg is based on radiographic findings in the setting of a typical clinical presentation, and tissue is not routinely obtained as the standard of care. Dipg final tumor volumes at the completion of treatment. They are glial tumors, meaning they arise from the brain's glial tissue — tissue. , ionkin d.a., zhavoronkova o.i., vetsheva n.n., shurakova a.b., bugaev s.a., kungurtsev c.v. Dipg is a logical tumor for using ced, since it is constrained within a limited anatomical children with a clinical and radiographic diagnosis of nonprogressive dipg who have received standard. In the united states, approximately 300. Tumor volumes were computed with additive roi's from each slice using flair imaging. Dipg is a brainstem glioma.

Glioma is a general name for any tumour that arises from the supportive tissue called glia, which help keep the neurons in place and functioning well dipg. Dipg brain tumors are most common in children ages 7 to 9, but it.

Posting Komentar

Lebih baru Lebih lama

Facebook